Deep infectionThe principles of dealing with deep infection of the knee are very similar to that of the hip joint although in this country the concept of revising the knee in one operation is slightly less common but gaining popularity. The principles are to open up the knee, remove all infected material and implants, to thoroughly wash the knee out and to insert a temporary spacer which can be made out of a mould in the form of cement which will release antibiotics, quite commonly Vancomycin, into the tissues to give very high tissue concentrations. The knee is stitched up and the patient is allowed to mobilise with this articulating spacer. It does not allow anything like normal movement but it does allow the soft tissue envelope to keep open and the muscles active. At a later date when the parameters of infection, normally the blood tests measuring the ESR and C-reactive Protein, come down to normal and the clinical status allows a second operation, the second stage is carried out. This involves opening the knee, removing the articular spacer and then re-inserting a new knee prosthesis. On these occasions it may be necessary to use a more constrained or linked knee and have more extended fixation to cope with the bone loss that may ensue. X-ray showing a knee with an articulating cement spacer (AP view). 
X-ray showing a knee with an articulating cement spacer (lateral view). 
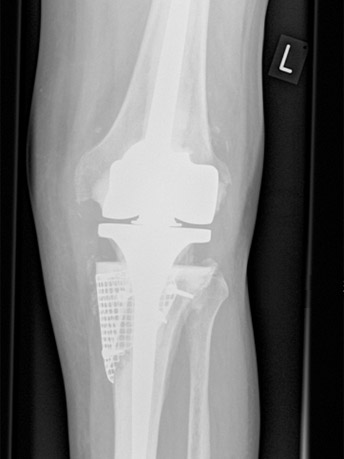
X-ray showing the same patient after revision surgery using a rotating hinge knee replacement and bone grating to the tibia contained with metal mesh (AP view). 
X-ray showing the same patient after revision surgery using a rotating hinge knee replacement and bone grating to the tibia contained with metal mesh (lateral view). 
|